Invisalign
Is Invisalign the right treatment for you?
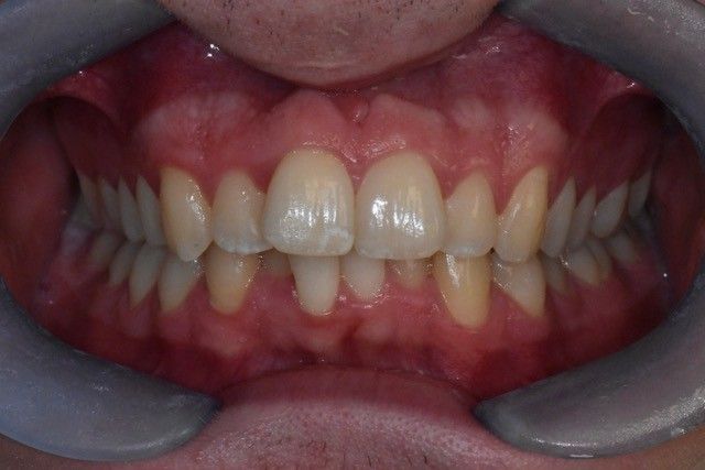
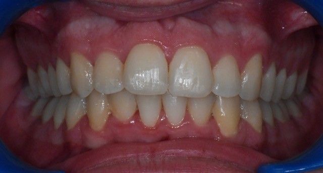
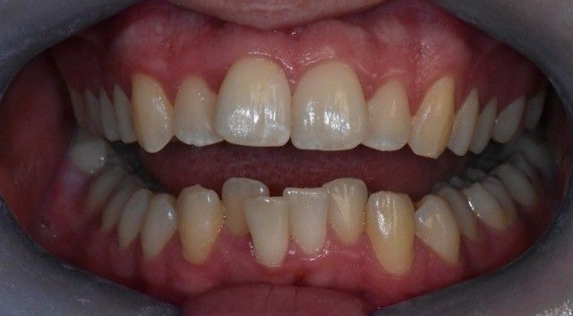
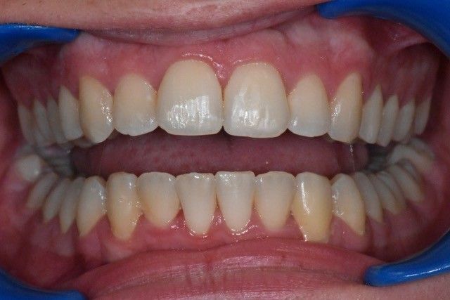
Invisalign® Braces
for Hitchin, Stotfold, Shefford & the Surrounding Areas
FAQs
What is Invisalign?
Invisalign is the virtually invisible way to straighten your teeth and achieve the smile you’ve always dreamed of. Using advanced 3D computer-imaging technology, Invisalign depicts your complete treatment plan based on your Invisalign Provider’s prescription, from the initial position of your teeth to the final desired position.
Then a series of clear aligners are custom-made for your teeth – and your teeth only – to move them little by little. Each aligner is worn for 1-2 weeks before being replaced by the next in the series, gradually moving towards the projected final position. Your Invisalign treatment time will be determined by your Invisalign Provider, based on your specific needs.
What are the benefits of Invisalign?
Invisalign aligners are nearly invisible. No one may even notice that you’re wearing these virtually invisible aligners, making Invisalign a seamless fit with your lifestyle and day-to-day interactions with others.
Invisalign aligners are removable giving you the flexibility to eat and drink what you want during treatment by simply removing the aligners. And you can also remove the aligners to brush and floss as you normally would for fresh breath and to maintain good oral hygiene.
Unlike traditional fixed braces, there are no metal brackets or wires. This means that in most cases less time is spent in your Invisalign Provider’s practice for adjustments.
And finally, Invisalign allows you to view your virtual results and treatment plan before you even begin treatment so you can see how your teeth are expected to look when your treatment is complete.
How does Invisalign work?
Invisalign aligners move teeth with an appropriate placement of controlled movement on the teeth. Unlike traditional braces, Invisalign not only controls the amount of movement per aligner, but also the timing of the movement. So at each stage, only certain teeth are allowed to move, as per the Invisalign treatment plan for that particular stage. This results in an efficient force delivery system that moves teeth into the desired prescribed position.
How often must I see my Invisalign Provider once I have started treatment?
Appointment intervals are generally the same as with traditional braces but can be much quicker with less time spent in the dentists’ or orthodontists’ chair during appointments as no adjustments need to be made to wires/brackets. Patients
typically visit their Invisalign Provider every 4 to 6 weeks to ensure the treatment is progressing as planned, and to receive their next few sets of Invisalign aligners, but your Invisalign Provider will decide based on your treatment.How long does the Invisalign treatment take?
The total duration of treatment depends on the complexity of the treatment and is generally comparable to that of traditional braces. Typically treatment can last between 3 and 18 months. During your consultation, your Invisalign Provider can provide you with more detailed information.

















