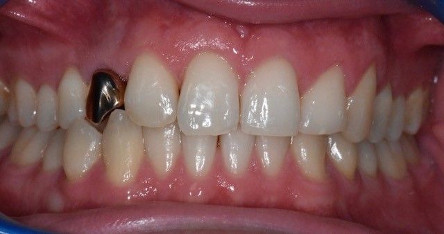
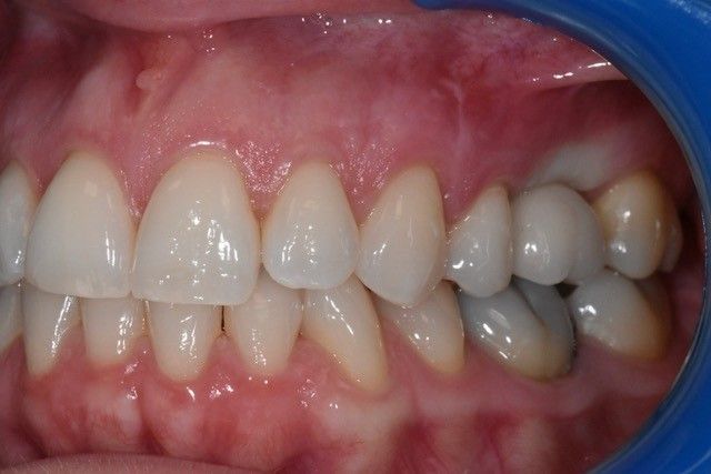
Implants
Gallery – Implant treatments
Free consultation for Dental Implants and facial Aesthetics























Implants
Free consultation for Dental Implants and facial Aesthetics























Credit availability will be subject to your individual circumstances. You must be over 18, live in the UK and earn an income to apply.
SAAB PROFESSIONAL LTD trading as Stotfold Dental Clinic with its registered address at 5 The Avenue, Stotfold, Hitchin SG5 4LY, is authorised and regulated by the Financial Conduct Authority and is entered on the Financial Services Register, reference number 978403.
Powered by LocaliQ