Cosmetic Treatments
Cosmetic Dentistry Results for Patients
Across Hitchin, Stotfold & Shefford
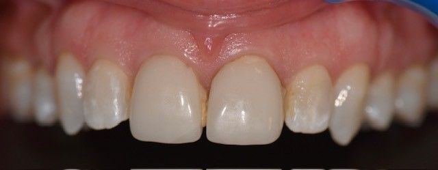
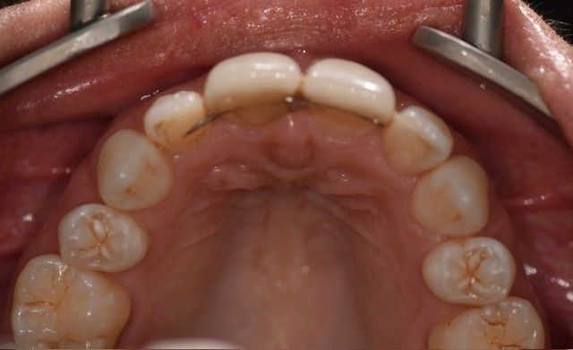
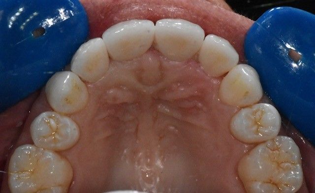
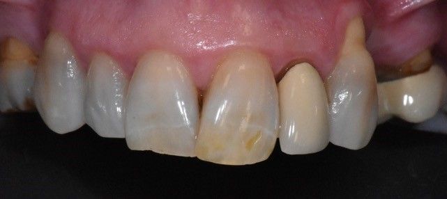
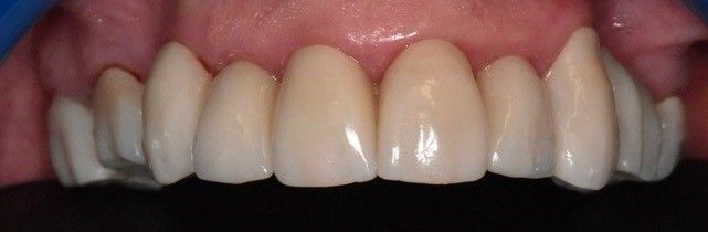
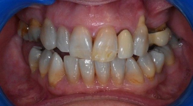
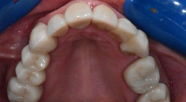
Your teeth are a vital component to your body. Having decaying, damaged or missing teeth can hinder your ability to drink or eat properly. At Stotfold Dental Clinic, we’re proud to offer a variety of cosmetic dentistry treatments for residents across the Hitchin, Stotfold and Shefford areas. From dental implants and veneers to Invisalign braces and teeth whitening treatments, our cosmetic dentist will find the right solution for your oral needs and budget. Our cosmetic dentist has all the proper knowledge and tools to help you achieve your dental goals. If you’re struggling with oral hygiene issues, check out our gallery below of some of our success stories. Contact our cosmetic dentists in Hitchin and Shefford to schedule a consultation for a dental solution.

















































































