Invisalign
Invisalign Braces Results for Patients
in Hitchin, Stotfold & Shefford
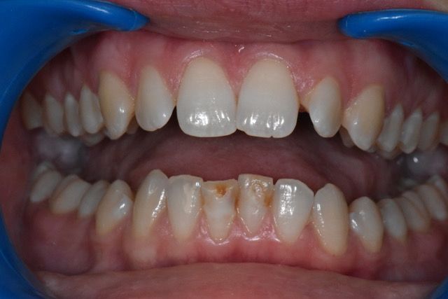
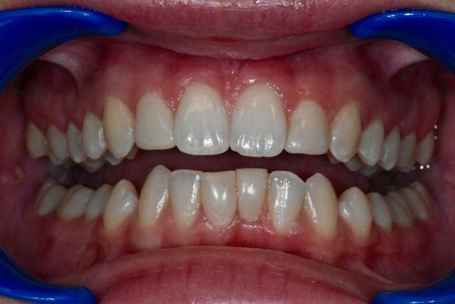
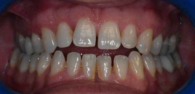
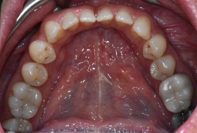
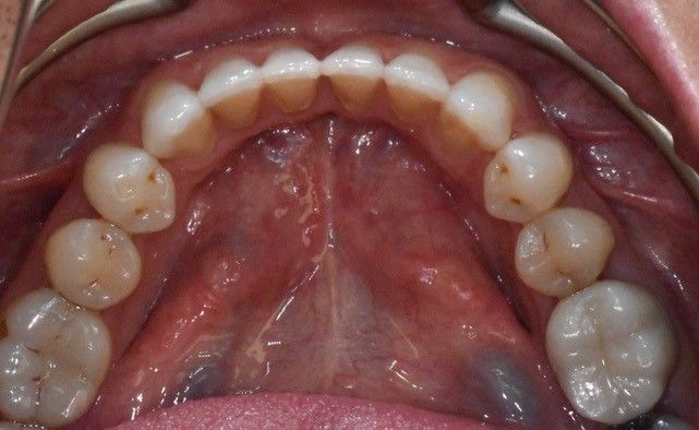
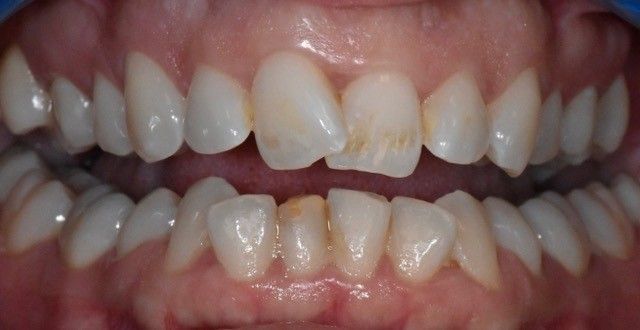
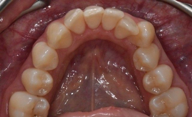
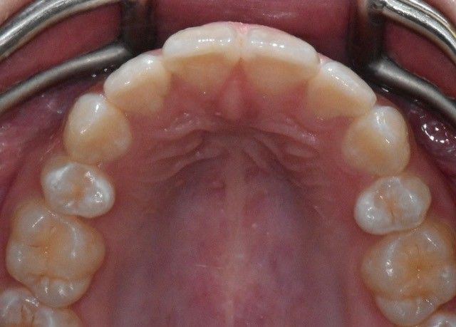
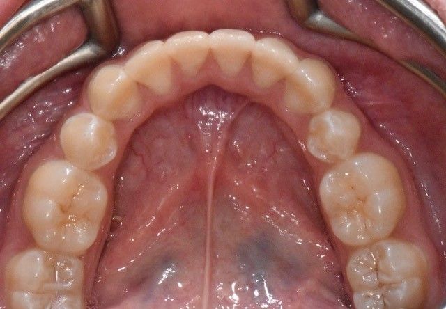
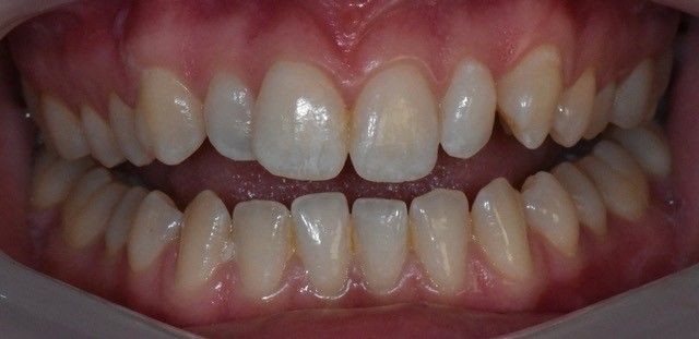
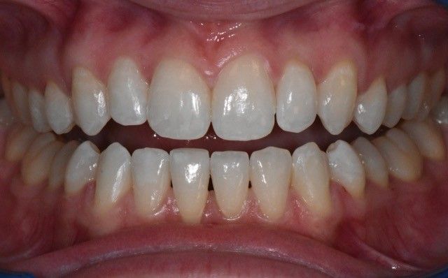
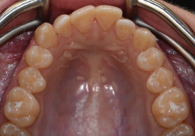
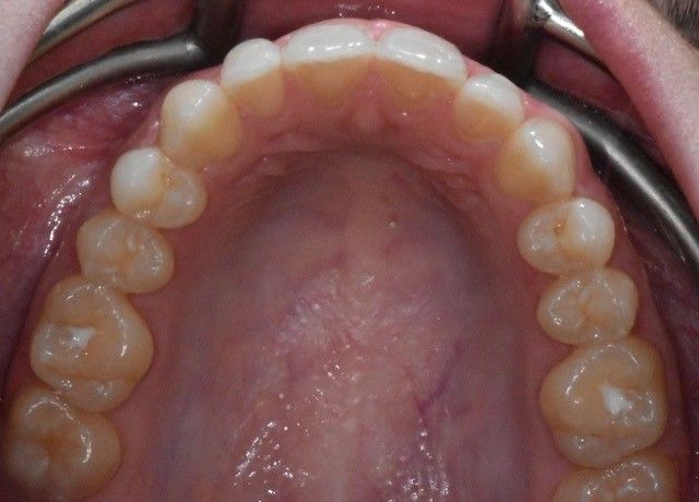
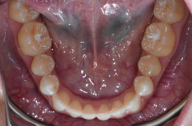
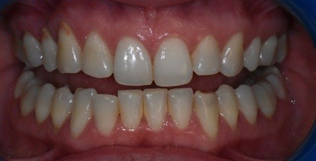
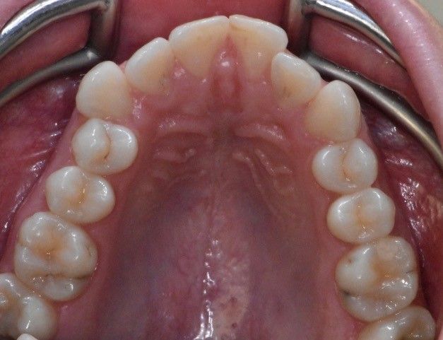
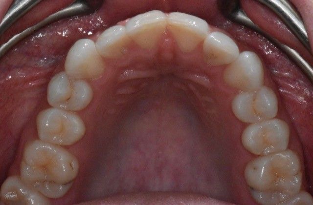
Many people across the world struggle with crooked smiles. With the help of a cosmetic dentist, your smile can be restored and shine bright for everyone to see. Invisalign braces are the perfect facial aesthetic solution to straighten out even the most complicated dental issues. Unlike traditional braces, Invisalign braces are plastic aligners that can be inserted over the teeth. One of the biggest benefits of Invisalign braces is that they are practically invisible, making it almost impossible for anyone to tell that you’re realigning your smile. Over time, the Invisalign braces will straighten out your teeth – giving you the smile you’ve always dreamt of. They can be easily removed so that you can eat and drink normally. Invisalign braces are easy to clean; simply brush them with your toothbrush and toothpaste.
At Stotfold Dental Clinic, we specialise in a variety of facial aesthetic options including Invisalign braces. If you’re interested in restoring your smile with Invisalign braces, check out the following section to see some of our patients' results. Whether you’re struggling with a crowded smile or have teeth that are too far apart, Invisalign braces might be the right facial aesthetic solution for you. To schedule an Invisalign braces consultation, contact our cosmetic dentist offices in Hitchin and Shefford.






















































































































































